【别开生面的血管疏通战】我院首次以逆向导丝法救治患者
市工人医院首次以逆向导丝方法挽救严重复杂慢性闭塞病变患者
【别开生面的血管疏通战】
市工人医院首次以逆向导丝方法挽救严重复杂慢性闭塞病变患者
市工人医院首次以逆向导丝方法挽救严重复杂慢性闭塞病变患者
近日,市工人医院收治了一位以急性左心衰为主要临床表现的急性心肌梗塞的患者,并首次以同侧逆向导丝方法成功为其开通慢性闭塞血管。这是市工人医院首次以逆向导丝方式开通慢性闭塞血管的微创介入手术。
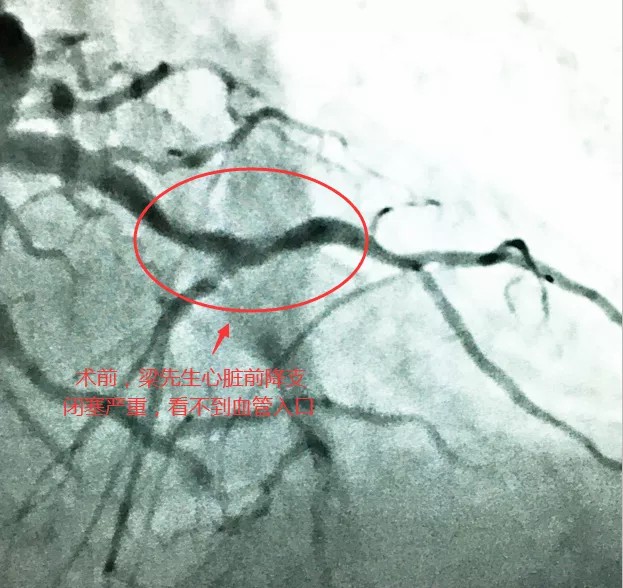
3月8日,63岁的梁先生因急性心力衰竭入院,梁先生既往有2型糖尿病、高血压病史,住院期间出现急性肺水肿和心源性休克,病情危重。医生检查发现梁先生患严重三支病变与前降支慢性闭塞。经治疗,初步控制了梁先生心衰病情,但改善其远期心功能必须进行冠脉血运重建。


经研讨,心血管内科团队一致认为梁先生前降支闭塞后形成侧支循环,有开通闭塞前降支的适应症,但用传统的前向导丝方法治疗成功率很低,且其病变复杂、基础病多,稍有不慎会有生命危险。经研究,心血管内科团队决定打破常规,采用同侧逆向导丝方法,由于操作导丝需谨慎不可破损心脏血管,这种治疗方案对主刀医生的综合要求很高。


(导丝在心脏表面绕圈后出体外以建立通道、植入支架)
以往该类手术需到省级医疗机构或邀请专家协助,考虑到梁先生病情危重、经济困难,经家属同意,决定在我院做手术。3月20日,心血管内科团队历经约4小时完成了手术。看到梁先生术后逐渐恢复,大家都很欣慰。


一直以来,市工人医院心血管内科始终坚持“以病人为中心,全心全意为病人服务”理念,持续强化综合处理重症心血管疾病的能力,不断提升医疗服务水平。经过不断努力,2017年12月15日,医院通过评审正式成为“国家级胸痛中心”。2019年,心血管内科成为梧州市级重点专科。每张“成绩单”都饱含责任担当,浸透辛勤汗水。


(胸痛中心定期开展抢救演练)
健康生活,从“心”开始。市工人医院心血管内科将继续精益求精钻研医疗技术,不断探索、开拓服务方式,全力以赴为群众提供优质高效的医疗服务。


(市工人医院心血管内科医护团队合照)


(作者:李国培 陈思晴)
相关热词搜索:
上一篇:【心脏支架植入金标准——FFR】为患者避免非必要支架植入
下一篇:我院胸痛中心团队前往中山小学开展“心肺复苏周”培训