肾上腺肿瘤,你们知多少?——世界肿瘤日
4月17日是世界肿瘤日,近年来,我国肿瘤的发病率逐年攀升。在此,向大家介绍生活中常见的肿瘤之一——肾上腺肿瘤,希望帮助大家提高认识,积极防治。
4月17日是世界肿瘤日,近年来,我国肿瘤的发病率逐年攀升。在此,向大家介绍生活中常见的肿瘤之一——肾上腺肿瘤,希望帮助大家提高认识,积极防治。
肾上腺及其功能
肾上腺是人体重要的内分泌腺之一,位于肾脏上方,左右各一,共重10~18克,左侧呈半月形,右侧为三角形。其由肾上腺皮质和髓质组成,通过分泌不同的激素,调节人体的生理功能,对维持正常的生理功能起重要的调节作用。一旦肾上腺的某一部位发生肿瘤,相应部位的激素就会过度分泌,即所谓“功能性肾上腺肿瘤”,进而引起一系列和激素过度分泌相关的临床症状,如:皮质醇症、醛固酮症、性激素分泌异常、嗜铬细胞瘤和恶性肾上腺皮质癌等。
(肾上腺人体解剖图,图示黑色箭头)
功能性肾上腺肿瘤之皮质醇症
肾上腺分泌糖皮质激素以调节糖和蛋白质代谢的激素 ,以皮质醇为代表。皮质醇症多由肾上腺皮质增生或肿瘤分泌过量的皮质醇激素引起,表现为满月脸、水牛背、中心性肥胖,而四肢瘦,多血质和紫纹;疲倦、衰竭、腰背痛;高血压;多毛、脱发、痤疮;性功能障碍,闭经或月经减少。
(典型库欣综合征典型的满月脸及向心性肥胖)功能性肾上腺肿瘤之醛固酮症
肾上腺分泌盐皮质激素以调节盐和水代谢的激素,以醛固酮为代表,作用于肾吸收钠和氯而排出钾和磷,影响全身的水钠电解质平衡。醛固酮症主要由皮质腺瘤大量分泌醛固酮引起。最主要的症状为高血压,一般为中度增高;第二类症状低钾血症引起的症状为肌无力或麻痹、感觉异常;第三类症状为多尿、夜尿、烦渴。


(血压测定示意图)
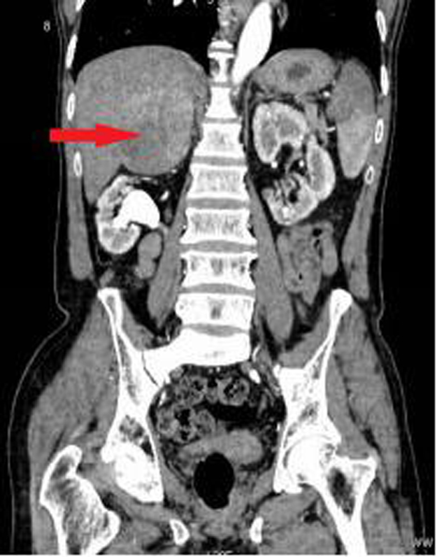
(右侧肾上腺肿瘤CT图示,红色箭头)
功能性肾上腺肿瘤之性激素分泌异常
肾上腺分泌性激素,雄激素对如第二性征等青春期健康发育起着重要的作用。其分泌微量雌激素,尤其在肾上腺肿瘤病人,因其含量增加,可使男性患者出现阳萎、不育,女性患者出现月经失调。性腺异常症由皮质肿瘤引起,分为生殖器增大早熟症、女性假两性畸形,女性男性化等。
(右侧肾上腺肿瘤CT图示,红色箭头)功能性肾上腺肿瘤之嗜铬细胞瘤
肾上腺髓质分泌儿茶酚胺,其对血液循环有着不可代替的作用。嗜铬细胞瘤产生大量的肾上腺素和去甲肾上腺素,二者不断释放入血液系统。嗜铬细胞瘤的主要症状为发作性高血压和代谢的改变。发作性高血压增高,伴心悸、气促、头痛、出汗、精神紧张、四肢发凉震颤,长期血压异常升高,收缩压常常高达200mmHg以上,易引发脑出血,危及生命。
功能性肾上腺肿瘤之恶性肾上腺皮质癌
恶性肾上腺皮质癌在临床不常见,一般发生在肾上腺某个区域,导致人体出现相应的临床表现。同时,肿瘤向外转移,常转移到腹主动脉淋巴结或血行转移到肺、肝等处。
肾上腺肿瘤的诊断
肾上腺本身体积很小,但其肿瘤体积与其差别很大。我们通常将直径3厘米以下肿瘤称为小瘤,最小的不到1厘米,大者可达十几公分,由于其肿瘤位于人体的后腹腔,日常难以发现。


(图中金黄色的即为肾上腺肿瘤,大小约1.5公分)
人们对肾上腺肿瘤的认识不足,导致诊断比较困难。近年来,随着科技发展,特别是高分辨率的B超、CT或MRI以及精密的实验室检测,以及医务人员对肾上腺疾病的常见症状如中青年高血压、特殊肥胖、尿多、低血钾等表现的认识和该疾病的危害日渐重视,肾上腺肿瘤发现率不断上升。
近年来,梧州市工人医院泌尿外科收治肾上腺肿瘤病人呈逐年上升趋势,由2015年不足30例上升至2018年逾百例。随着医疗人员对该疾病的诊疗水平不断提高,该疾病对人民群众的危害正在逐年下降。
肾上腺肿瘤的治疗
目前,肾上腺肿瘤的治疗方法90%以上为手术切除,且手术切除是最有效方法。
手术切除肾上腺肿瘤存在两个难点:
(一)肾上腺肿瘤切除手术需要充分准备。肾上腺肿瘤不仅是实体瘤,而且是具有分泌各种活性激素影响人体生命代谢的肿瘤。常规的术前准备不能满足人体对手术风险的耐受,术中及术后致死的风险明显增高,因此手术前的充分准备及评估尤为重要,例如药物控制血压,纠正水电解质酸碱平衡,改善心、肺、肝、肾功能储备,应用抗生素预防感染甚至必要的心理精神干预等,短则1周,长则4-6周。只有充分的准备,才能减少危及生命的现象发生,提高手术成功率及术后的有效康复率。
(二)由于肾上腺的解剖位置和手术的高风险性,国家卫健委一直都把它列为高等级开展手术,规定必须由高年资医师亲自操作。传统的开放式手术被看作安全且有效的治疗方法,但是存在术中找寻肾上腺困难而损伤患者胸膜问题。因可能导致患者创伤大、手术出血多、术后恢复缓慢,传统的开放式手术逐步成为次选手术方式。
(一)肾上腺肿瘤切除手术需要充分准备。肾上腺肿瘤不仅是实体瘤,而且是具有分泌各种活性激素影响人体生命代谢的肿瘤。常规的术前准备不能满足人体对手术风险的耐受,术中及术后致死的风险明显增高,因此手术前的充分准备及评估尤为重要,例如药物控制血压,纠正水电解质酸碱平衡,改善心、肺、肝、肾功能储备,应用抗生素预防感染甚至必要的心理精神干预等,短则1周,长则4-6周。只有充分的准备,才能减少危及生命的现象发生,提高手术成功率及术后的有效康复率。
(二)由于肾上腺的解剖位置和手术的高风险性,国家卫健委一直都把它列为高等级开展手术,规定必须由高年资医师亲自操作。传统的开放式手术被看作安全且有效的治疗方法,但是存在术中找寻肾上腺困难而损伤患者胸膜问题。因可能导致患者创伤大、手术出血多、术后恢复缓慢,传统的开放式手术逐步成为次选手术方式。
(开放手术后瘢痕) 随着腹腔镜技术的发展,经后腹腔镜手术解决了上述问题。其优点一是微创,即皮肤上仅需几个直径1厘米的小孔即可完成肿瘤切除,术后恢复很快,而传统开放手术的切口动辄十余厘米,患者术后恢复慢,影响美观;二是清晰,由于腹腔镜的放大作用,即使位置很深的肾上腺也可以清晰展现近在眼前,实现了开放手术无法匹敌的清晰视野;三是配套先进切割、分离器械使用,使手术解剖相当精细,出血极少,对肾上腺干扰少,安全性高。
(腹腔镜手术图示)梧州市工人医院泌尿外科简介
梧州市工人医院泌尿外科作为梧州市重点专科,肾上腺肿瘤诊疗一直是科室的重点的诊疗项目,成立了专门诊疗小组开展肾上腺肿瘤的诊疗工作。从本世纪初开展微创腹腔镜肾上腺肿瘤手术以来,技术水平更上一个新台阶,积累丰富的诊断及手术经验,特别是近年来引进的多台高清及3D腹腔镜系统及国际先进超声刀切割能量平台,为手术的精细化及安全性提供了更有效的保障,不断有患者慕名前来。目前,该专科总体诊疗水平在桂东南地区诊疗肾上腺肿瘤方面处于领先地位,进入区内先进水平行列。


(梧州市工人医院泌尿外科医生团队)
相关热词搜索: